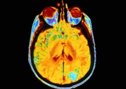
Milioni di persone soffrono di fibromialgia, una condizione che provoca dolore muscolo-scheletrico diffuso, disturbi del sonno, mal di testa ed alterazioni del tono dell’umore. La maggiorparte di questi ha molto lottato -o combatte ancora- per ottenere una diagnosi certa: allo stato attuale infatti non esistono test di laboratorio o altre indagini diagnostiche che identifichino con certezza tale condizione, senza contare che i suoi sintomi sono correlabili a numerose altre malattie. Un nuovo studio scientifico però potrebbe creare una svolta, grazie ad alcune immagini di risonanza magnetica.

